Canine and Feline
ultrasound and fertility
At AUP’s – Animal Ultrasound & Fertility Services, we provide specialist reproductive care for breeders and pet owners who value precision, compassion, and ethical practice. Our non-invasive ultrasound scans offer accurate pregnancy detection and monitoring, while our comprehensive fertility services—including cytology, semen collection, semen
analysis, semen chilling and semen awakening. We support every stage of the breeding process with clinical integrity. With a commitment to animal welfare and industry standards, AUP’s delivers expert diagnostics in a calm, respectful
environment, helping you make informed decisions with confidence

Our services
Pregnancy ultrasound
Pregnancy ultrasound scanning - Our pregnancy ultrasound service provides safe, non-invasive confirmation of pregnancy in both dogs and cats. Using advanced scanning technology and gentle handling techniques, we deliver clear, reliable results while prioritizing your pet’s comfort and wellbeing.Whether you visit our calm, home-based clinic or book a mobile appointment, we tailor each session to suit your pet’s needs—supporting responsible breeding with compassion, precision, and care.
Cytology
Canine Cytology – Precision Timing for Ethical Breeding
Our canine cytology service provides accurate, microscope-based evaluation of vaginal cells to determine the optimal breeding window. By identifying key stages in the oestrous cycle. we help breeders time mating's with confidence and reduce unnecessary attempts. This non-invasive diagnostic method supports responsible breeding practices, minimizes stress for the bitch, and enhances the likelihood of successful conception. All samples are handled with care and analysed in a calm, professional setting to ensure reliable results and animal comfort.
Semen collection
Canine Semen Collection – Expert Handling for Reproductive Success
Our canine semen collection service is performed with clinical care, precision, and respect for the animal’s comfort. Using proven, non-invasive techniques, we ensure high-quality sample retrieval suitable for immediate analysis, chilling, or storage. Whether for natural breeding, artificial insemination, or fertility evaluation, each collection is handled in a calm, controlled environment to maintain sample integrity and reduce stress. We prioritize hygiene, accuracy, and ethical standards throughout the process—supporting breeders with reliable results and responsible reproductive planning.
Semen analysis
Semen chilling
Canine Semen Analysis – Evaluating Fertility with Clinical Precision
Our semen analysis service provides a detailed assessment of canine reproductive health, using microscopic evaluation to measure key indicators such as motility, morphology, and concentration. This diagnostic process helps breeders understand the viability and quality of a stud’s semen, whether for natural mating, artificial insemination, or long-term fertility planning. Each sample is handled with care and analysed in a sterile, controlled environment to ensure accuracy and reliability. By identifying potential issues early, we support informed breeding decisions and promote responsible, welfare-focused practices.
Canine Semen Chilling – Preserving Viability for Flexible Breeding
Our semen chilling service allows breeders to preserve high-quality canine semen for short-term storage or transport, enabling flexible and well-timed insemination. Using sterile techniques and temperature-controlled protocols, we prepare samples for safe handling without compromising motility or viability. This service is ideal for coordinating with
distant bitches, managing stud availability, or planning insemination outside of peak fertility hours. Every step is performed with clinical care and attention to detail, ensuring ethical standards and optimal reproductive outcomes.
Semen awakening
Canine Semen Awakening of chilled semen– Restoring Viability for Confident Insemination
Our semen awakening service is designed to reanimate chilled canine semen prior to insemination
ensuring optimal motility and viability at the time of use. Through controlled warming and microscopic evaluation, we assess the sample’s readiness and provide breeders with clear, informed guidance. This process is essential for verifying the effectiveness of chilled storage and maximizing reproductive success. Every step is handled with precision, care, and respect for the animal—supporting ethical breeding practices and reliable outcomes.
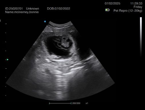
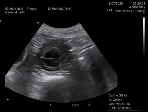
Ultrasound scanning explained

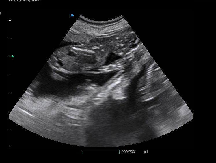
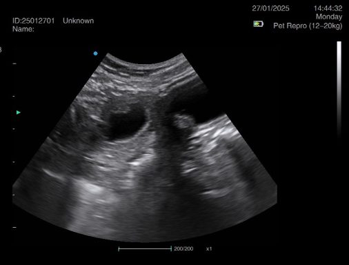
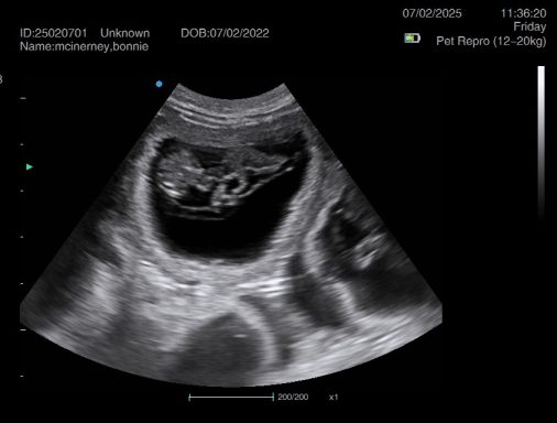
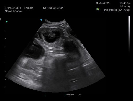
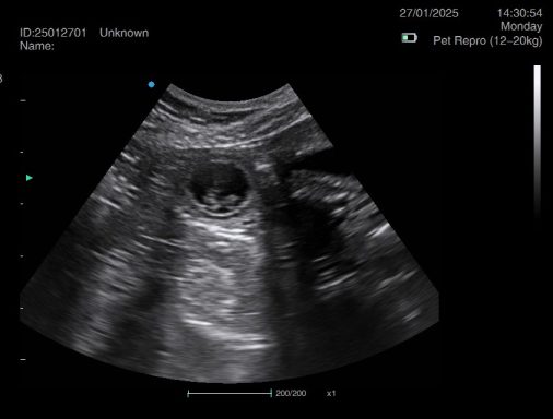
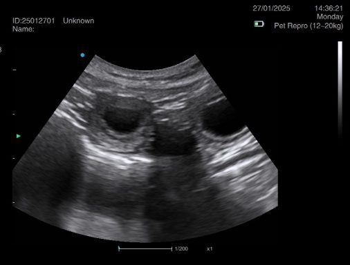
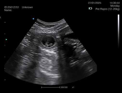
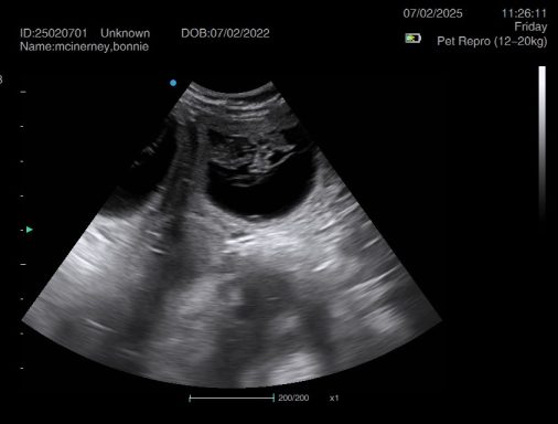
🐾 Pregnancy Ultrasound Scanning: Why It Matters
Ultrasound pregnancy scanning is a safe, non-invasive way to confirm pregnancy in dogs and cats, offering breeders and pet owners peace of mind and vital information to support responsible care. It allows us to detect gestational sacs, assess foetal development, and estimate litter size—all while ensuring the wellbeing of the animal.
Pregnancy can sometimes be detected as early as Day 18 post-mating, but scanning at this stage is not routinely recommended. Embryos are still developing and may not be clearly visible, and there is a natural risk of embryo resorption, which can lead to misleading or inconclusive results.
For the most accurate and reliable scan, we advise booking between Day 25 and Day 32, when pregnancy is more easily confirmed and foetal structures are clearer. If an early scan is performed and no pregnancy is detected, we offer a FREE complimentary re-scan after 7 days at the clinic to ensure clarity and support informed decision-making.
Our approach balances early insight with ethical care—always prioritizing the comfort of the animal and the accuracy of the results.
Gallery



















